
“桃心”状肺
□楚天都市报记者 刘迅 通讯员 高琛琛
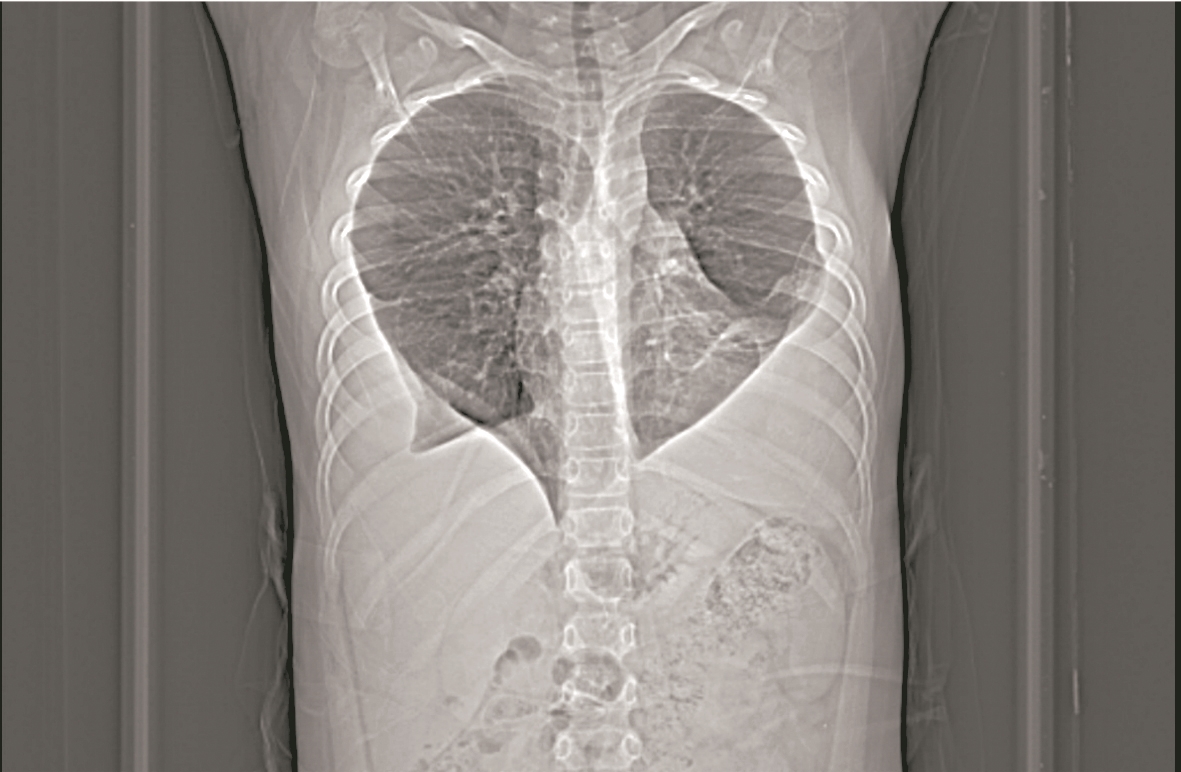
一般人的肺是饱满的树叶形,而11岁男孩嘉嘉(化名)的肺却是桃心形。
导致这一情况的原因相当揪心:肺吸虫病!
因为胸腔积液反复发作,嘉嘉来到武汉儿童医院。医生检查发现,他的两片肺叶竟然长成了桃心一般的形状。进一步询问得知,他从小就经常直接喝井水或溪水,极可能是因此感染上了寄生虫。
昨日,专家发出警示:不仅水要烧开喝,在炎热夏季里,醉虾、醉蟹等大受欢迎的美食也可能潜伏危险。水也好,食物也好,一定要煮熟煮透再进嘴。
男孩双肺变成桃心状
嘉嘉(化名)家住恩施,半年前,他在体检时发现左侧胸腔有积液。在当地医院接受了治疗后,病情好转。今年7月初,他去医院复查时发现,右侧胸腔又有了积液。结合上次的症状,医生怀疑可能是寄生虫感染。但奇怪的是,在给予规范治疗后,再次复查仍然有积液。上周,嘉嘉被转至武汉儿童医院心胸外科。
拍片发现,嘉嘉的肺部形态跟正常人完全不同——正常人的肺像两片饱满的树叶,而他的肺像桃心一般上头宽下头尖,原本属于肺叶下端的部分,则被不明物体覆盖。进一步检查发现,嘉嘉的肺感染了肺吸虫。
武汉儿童医院心胸外科主任皮名安介绍,肺吸虫感染导致嘉嘉的双侧肺都有严重积液,积液在他的肺中不断沉积,积液中的蛋白质等物质,在沉积并钙化后形成“纤维板”,附着于他的肺部下端。慢慢的,嘉嘉正常的肺叶就成了桃心的形状。
检查发现,当地医院给予的驱虫治疗是成功的,现在嘉嘉需要面对的,是通过手术取出这些沉积物。昨日术中,皮名安主任从嘉嘉的肺和膈肌之间发现了大量沉积物,取出后就像一堆豆腐渣。正是它们,导致了嘉嘉反复发生胸腔积液。
食物一定要煮熟煮透
皮名安主任介绍,肺吸虫是一种寄生虫,在生活中是比较常见的,人和动物是它的终宿主。终宿主排出虫卵至水中,经过中间宿主,比如在螃蟹体内发育成囊蚴(青少年期的肺吸虫),它可通过口感染进入人体,在胃和十二指肠内破裂,幼虫脱出并穿过肠壁进入腹腔,穿过横膈入胸腔和肺,在人的肺内发育为成虫。它还可能寄生于多种组织器官,如脑、脊髓、胃肠道、腹腔和皮下组织等,产生相应的症状,严重时还会造成不可逆的后遗症。
嘉嘉说,他从没吃过生鱼、生螃蟹,但是从小经常会喝生水,比如井水或出去玩时喝小溪的水。医生推测,这个习惯,很可能就是他感染肺吸虫病的原因。
远离肺吸虫病需要从生活习惯着手。“有些人为了追求新鲜的海鲜口感,吃一些半生不熟的海鲜、河鲜,或是饮用未经过滤净化的生水,均可能诱发感染。”皮主任介绍,一定要养成不饮用生水,饭前便后流水肥皂洗手的好习惯。海鲜、河鲜、肉类一定要煮熟煮透才能食用。尤其是不能生食山溪和河里的蟹、虾,因为山溪和河流是各种寄生虫的滋生源。
他提醒,炎热夏季,醉虾醉蟹等大受欢迎美味食物,也可能存在危险。“在高温下,肺吸虫是可以被杀死的,所以不管吃什么,一定要煮熟煮透再入嘴。”
Copyright © 2001-2026 湖北荆楚网络科技股份有限公司 All Rights Reserved
互联网新闻信息许可证 4212025003 -
增值电信业务经营许可证 鄂B2-20231273 -
广播电视节目制作经营许可证(鄂)字第00011号
信息网络传播视听节目许可证 1706144 -
互联网出版许可证 (鄂)字3号 -
营业执照
鄂ICP备 13000573号-1
鄂公网安备 42010602000206号
版权为 荆楚网 www.cnhubei.com 所有 未经同意不得复制或镜像