小小蛀牙
竟引发大量胸水?
近日
市儿童医院儿童重症医学科
收治了一名大量胸水的患儿

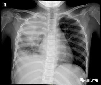
8岁的妍妍因高热、气急就诊
完善检查发现大量胸腔积液
入院立即行胸腔穿刺术
抽取胸水检出牙龈卟啉单胞菌
给予抗感染以及后续胸腔廓清手术治疗
患儿病情好转

据悉,妍妍既往有蛀牙情况 ,平时未得到重视,此次胸水检出的牙龈卟啉单胞菌即为牙周致病菌。

蛀牙会导致牙根发炎
细菌及代谢产物通过牙根周围骨组织
进入血液
或通过筋膜间隙
到达肺部,损害肺部
小小的蛀牙也能带来如此严重的后果
儿童牙病不可轻视
中国儿童患龋率非常高
根据第四次全国口腔健康流行病学的调查结果显示,中国5岁儿童乳牙龋患率为70.9%,12岁儿童恒牙龋患率为34.5%,儿童龋病患病率呈上升趋势。
乳牙蛀如果没有及时治疗,可能会发展成为牙髓、根尖周病变,对其下方的恒牙胚发育造成影响,使牙胚不发育或形成囊肿,造成继替恒牙牙釉质发育不全,甚至恒牙异位萌出。
除此之外,乳牙龋齿还对全身健康有危害,由于龋齿疼痛,以及乳牙龋坏早失,导致咀嚼功能降低,胃肠消化吸收减弱,造成机体营养不良,生长发育受到影响;还可因龋齿引起根尖周围感染,造成全身感染,如关节炎、肾炎、心肌炎等。
儿童龋齿重在预防
那么
该如何保护口腔健康
预防龋齿呢?
1
注意口腔清洁,坚持早晚两次刷牙,饭后漱口
2
养成良好生活饮食习惯,少吃甜食、粘性高、酸性高的食物,多吃粗纤维的食物
3
采用专业措施,接受局部用氟防龋、窝沟封闭等措施
4
定期口腔健康检查,每半年一次,做到早发现,早治疗,获得更多口腔保健知识。
口腔健康很重要
大家一定要重视起来!
早发现!早治疗!
记者/张璐
来源:厦门广电
Copyright © 2001-2026 湖北荆楚网络科技股份有限公司 All Rights Reserved
互联网新闻信息许可证 4212025003 -
增值电信业务经营许可证 鄂B2-20231273 -
广播电视节目制作经营许可证(鄂)字第00011号
信息网络传播视听节目许可证 1706144 -
互联网出版许可证 (鄂)字3号 -
营业执照
鄂ICP备 13000573号-1
鄂公网安备 42010602000206号
版权为 荆楚网 www.cnhubei.com 所有 未经同意不得复制或镜像