最近,临平10岁男孩小杰(化名)一觉睡醒,脖子突然“瘫”了,甚至连平躺都变得困难,小杰疼得在家哇哇大哭,这可把妈妈吓坏了,她赶紧带着孩子来到医院检查。
10岁男孩, 颈椎老化程度
超过成年人,已是不可逆伤害
小杰妈妈告诉临平区中西医结合医院针灸推拿科王建之主任,大概一个月前,小杰感觉脖子和肩膀酸胀,但那时稍微活动活动还能缓解,没想到短短一个月症状越来越严重,小杰开始头晕,颈椎痛得坐立难安,连睡觉都像在“受罪”一样。

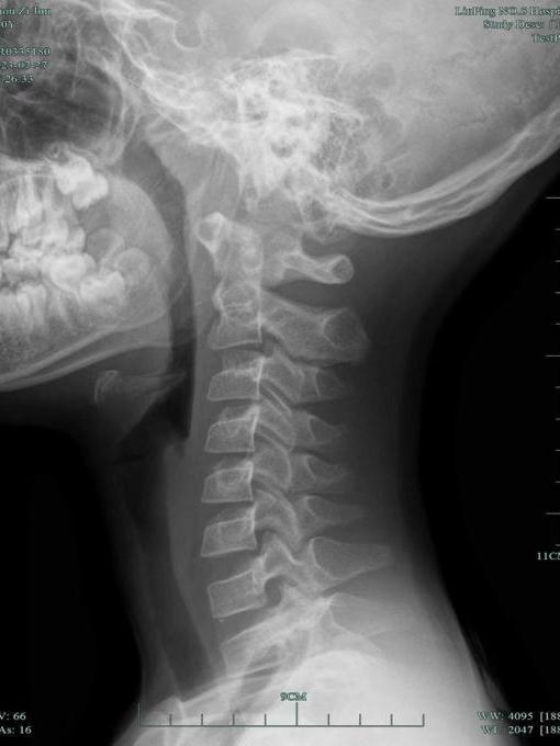
王主任查看小杰的颈部DR片惊讶地吐出四个字:一塌糊涂!
小杰颈椎病变严重,小关节错位,颈椎反弓。明明才10岁,颈椎已经跟30岁的人一样,老化程度甚至超过不少接诊的成年人。


一般这种程度的颈椎病,很难在小孩身上看到,患者以长时间对着电脑办公的白领居多。最关键的是,这种伤害是不可逆的。治疗只能得到改善,也就是说,颈椎病将伴随小杰终生!
一个10岁孩子怎么会有如此严重的颈椎病?
在王主任和小杰妈妈的反复追问下,小杰终于支支吾吾道出了实情……
孩子暑假手机、平板不离手
暑期已接诊十几位小患者,最小的3岁
原来,小杰的爸爸妈妈平日里工作较忙,暑假把小杰托给了老家的长辈们照看,老人家疼爱孩子,舍不得严厉管教,近一个月以来,除了吃饭、睡觉,小杰几乎是手机、平板不离手。王主任告诉记者,孩子的骨骼、韧带还没发育成熟,颈部肌肉等都比成年人弱,长时间低头使用电子设备,颈椎受损的可能性更大,且进程也更快。
今年暑假过了一个多月
他们已经接诊了十五六个小朋友
最小的才3岁

手机管理成为家长最大难题之一
正确引导很重要
孩子的手机管理
已经成为不少家长暑期难题之一
有家长表示
因为手机,自己和孩子还产生了争执
如何帮助孩子管理手机
1.父母要给孩子做好榜样
育儿先育己,父母的一举一动都是孩子模仿的对象。家长们要严于律己,严格控制自己玩手机的时间,尤其是在和孩子相处的时候,要尽量减少电子产品的使用,做到专心陪伴。在要求孩子不要玩手机的时候,自己也要首先做到,给孩子树立榜样。如果不希望孩子在手机上投入太多精力,家长就要减少手机和电脑的娱乐和游戏时间。
2.帮助孩子明确手机的定位
除草的最好方法,就是种上庄稼。家长要指导孩子使用手机辅助学习,让孩子意识到手机也是一种学习工具。针对孩子的特点和兴趣,为孩子选择一些学习软件,有目标有选择地引导孩子利用手机学习,既获得了知识,又拓展了兴趣。
快乐的学习体验会让孩子对手机的功能有全面的理解,他们会意识到,手机不再是玩具,屏幕的那边连接的是一个广阔的世界,那里有无穷尽的知识宝藏。当然,在手机上学习和查阅资料的时候要注意屏幕时长,保护好眼睛。
3.严格规定作息时间
家长可以为孩子安排好每天学习、锻炼、休息、娱乐的时间,并严格执行。如果执行中存在困难,家长可以适当采取激励式办法进行监督。
4.帮助孩子培养兴趣爱好
家长可以趁假期培养孩子的兴趣,让孩子把时间投入到有趣又有意义的事情上。如:多带孩子进行体育锻炼,让孩子和自己一起运动,形成良好的亲子关系,让孩子体会手机之外的乐趣;鼓励孩子多参加集体活动,让孩子在集体活动中去结识志同道合的朋友。
综合天天看临平、区中西医结合医院、人民教育
来源:杭州日报
Copyright © 2001-2026 湖北荆楚网络科技股份有限公司 All Rights Reserved
互联网新闻信息许可证 4212025003 -
增值电信业务经营许可证 鄂B2-20231273 -
广播电视节目制作经营许可证(鄂)字第00011号
信息网络传播视听节目许可证 1706144 -
互联网出版许可证 (鄂)字3号 -
营业执照
鄂ICP备 13000573号-1
鄂公网安备 42010602000206号
版权为 荆楚网 www.cnhubei.com 所有 未经同意不得复制或镜像