[an error occurred while processing the directive]
更多

男子拔火罐左肺拔出蹊跷:左肺近消失90%的肺遭压缩

发布时间: 2012-09-06 09:02   来源: 武汉晚报   进入电子报

 

 

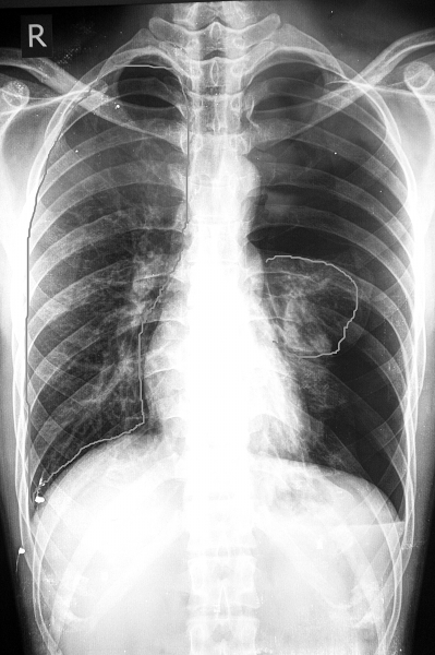
如图左边大圈是正常的右肺,右边小圈是异常的左肺。

  本报讯(记者余乐 通讯员肖夏 汪洋)拔火罐祛痛,疼痛依旧,到医院一拍片子,医生都震惊:左肺几近消失,难道是拔火罐拔出了鬼?

  29岁的小方家住汉阳,1米8,瘦,只有约60公斤。前几天,他感到胸、背疼痛,左侧尤甚。他以为是肌肉劳损,请人拔了个火罐。3天过后,疼痛愈加严重,还新增了干咳症状,稍活动更觉胸闷、疼痛,有时连气都喘不上来,家人赶忙把他送到汉阳医院。

  经心电图、肝脾彩超、胸片等相关检查,确诊小方患的是自发性气胸。拍出的胸片尤其惊人,左肺压缩达90%,基本难见踪迹。该院胸外科吴中权教授安慰小方:其实左肺的异常与拔火罐并无直接关系。

  吴中权解释,起初外界诱因如咳嗽、憋气等,诱发了小方左侧的自发性气胸,引起肺泡内压急剧升高,靠近肺尖部的肺大泡破裂,吸入肺和支气管内空气进入胸膜腔,将肺压缩,影响肺通气。不过拔火罐还是坏了事,耽误了治疗时间,病情迅速恶化,才出现呼吸困难等,治疗难度也随之加大,从穿刺引流升级为手术。

  接受了微创肺大泡切除手术后,昨天,小方还在接受抗感染等进一步治疗,约一周后就能康复出院,不会影响日后的肺功能。

  吴中权说,原发性自发性气胸大多数由于胸膜下肺大泡破裂引起,多见于瘦长体形男性,绝大多数与先天性有关,这类人肺尖部肺大泡较多,他们在负重、大声咳嗽、用力排便、猛烈运动之后,若感觉胸部不适,需特别警惕肺大泡破裂并发自发性气胸。

(本文来源:武汉晚报 编辑:曹欢欢)
关键词:男子;拔火罐;肺消失