

2月5日,在同济医院神经外科病房里,13岁河南女孩小锦(化名)坐在病床上,一边看着爸爸清理东西,一边开心地跟神经外科于加省教授说话:“我真的很开心,因为今天我可以出院回家。明天是爸爸的生日,明天妈妈也要生宝宝,家里会添一个可爱的小妹妹或小弟弟,我也会更好!”她的眼睛笑成了月牙,嘴边的小虎牙也露了出来,可爱而俏皮。
初三女孩期末考试前突然右眼睁不开,头疼欲裂
已是学期末了,繁重的学习让初三的小锦一丝不敢放松。感觉有点偏头疼,但小锦以为是感冒没太重视。1月7日凌晨4时,小锦被疼醒了,捂着右眼痛苦地叫爸爸,告诉爸爸自己右眼无法睁开。天一亮爸爸赶紧带她去医院检查,CT、磁共振检查发现小锦的脑内中心部位有个巨大的阴影。医生不敢确诊,建议立即转往武汉同济医院救治。
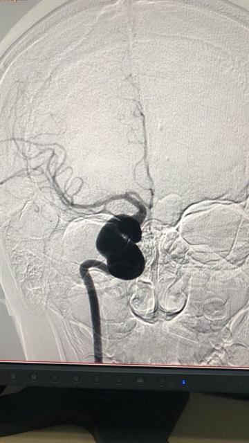
1月10日,同济医院神经外科牛洪泉教授见到了小锦,一看片子:脑内巨大动脉瘤!
牛洪泉立刻联系神经外科脑血管病专家于加省教授。于教授心里咯噔一下:如此棘手的巨大动脉瘤,一旦出现严重并发症,可能会影响到孩子一生。
“动脉瘤已开始产生明显的压迫症状,不治疗的话,不仅小锦的眼睛无法恢复,如果动脉瘤破裂出血风险更大,患者又如此年轻,必须救!”于教授说,超超过25毫米的脑动脉瘤被称为巨大动脉瘤,对其它专科或许只是个小病变,但脑血管比较细,超过10毫米的动脉瘤就比较大了。而且小锦的这个动脉瘤位于靠近脑袋正中的海绵窦内,周围神经、血管丰富,一旦处理不当,极可能影响正常的神经功能。
爸爸要求“快快快”,医生却在“慢做”准备
小锦入院后,很多亲朋打电话问小锦的情况。不久前,小锦的一位亲戚也因脑动脉瘤在于加省教授手下进行了手术治疗,获得完全康复。知道动脉瘤很危险,小锦的爸爸更希望医院快点治疗。
于教授说,小锦右眼睁不开、头痛,就是脑动脉瘤急速膨胀造成的。他在科内同陈坚、陈旭、曾令成等专家讨论了小锦的病情。动脉瘤靠近脑中心,位于右侧大脑最主要的动脉通道上,如一枚“巨大地雷”。其周围有众多重要的神经、血管。讨论了多种方案,先后排除保守治疗、直接开颅夹闭动脉瘤、介入治疗等治疗方式后,专家们决定:只有采取搭桥手术,修一条“栈道”,重建大脑血流通路,然后在动脉瘤两端堵住病变血管,孤立“地雷”。但这种手术难度极大,尤其在这么小年纪的病人身上实施。
颅内手术风险高,而小锦的搭桥手术必须一次到位,既要搭桥成功,还要保证桥血管不堵塞,流量足够大,才不会影响到小锦的大脑血供。
所以,尽管家属一再希望手术“快快快”,但医生却对小锦术前的评估及训练花费了很长时间,“这一切和小锦的安全相比起来,都是值得的”。
于加省教授每天指导小锦的爸爸按压小锦的右侧颈动脉,希望调动其它的脑血管供应。于教授说,这是缺血耐受训练,因为无论多成功的血管搭桥术,移植的血管都无法与之前的血管完全一致,血流量可能会有不同,这样的按压颈动脉训练,可以帮助搭桥术后小锦的恢复。
住院10天,仍没有小锦的手术安排。小锦爸爸又一次拦住了于教授。
“于教授,还能手术吗?您给句实话吧。老家,小锦的妈妈马上要生二胎了,她奶奶也心脏病住院了。小锦住院就没笑过,我心里也越来越没底了。”
“放心,手术是肯定要做的。我希望把手术的安全性提到最高,一定让你们回家过年!”于教授坚定地说。
神经血管“丛林”间成功“排雷”
专家提醒:突发头痛眼疾症状查查脑血管
1月23日,一切准备就绪,手术正式开始。同济医院多学科合作,神经外科、麻醉科、心脏大血管外科、护理团队、电生理监测齐上阵。
手术从上午9时持续到下午5时,医生们顺利取出小锦左臂上10多厘米长的桡动脉,暴露右侧颈动脉以及开颅,并在荧光显微镜下,顺利完成了搭桥手术,最终成功孤立了危险的“地雷”。
因为准备充分,术后第二天,小锦的右眼就明显睁大了,同时也从重症监护室转到了普通病房。术后一周,小锦右眼基本正常睁开了,头也不疼了。
于加省提醒:如果突发剧烈头疼、恶心呕吐等症状,或感觉突然眼皮耷拉睁不开、眼前有重影等,要及时就诊。此外,有脑出血疾病家族史、高血压病史、吸烟的市民,最好定期做脑血管检查。
湖北日报全媒记者 龙华 通讯员 田娟
Copyright © 2001-2026 湖北荆楚网络科技股份有限公司 All Rights Reserved
互联网新闻信息许可证 4212025003 -
增值电信业务经营许可证 鄂B2-20231273 -
广播电视节目制作经营许可证(鄂)字第00011号
信息网络传播视听节目许可证 1706144 -
互联网出版许可证 (鄂)字3号 -
营业执照
鄂ICP备 13000573号-1
鄂公网安备 42010602000206号
版权为 荆楚网 www.cnhubei.com 所有 未经同意不得复制或镜像